Malo Clinic Naturalny efekt dopasowany do twarzy
Estetyka uśmiechu na najwyższym poziomie
Wypełnij formularz - skontaktujemy się z Tobą telefonicznie.

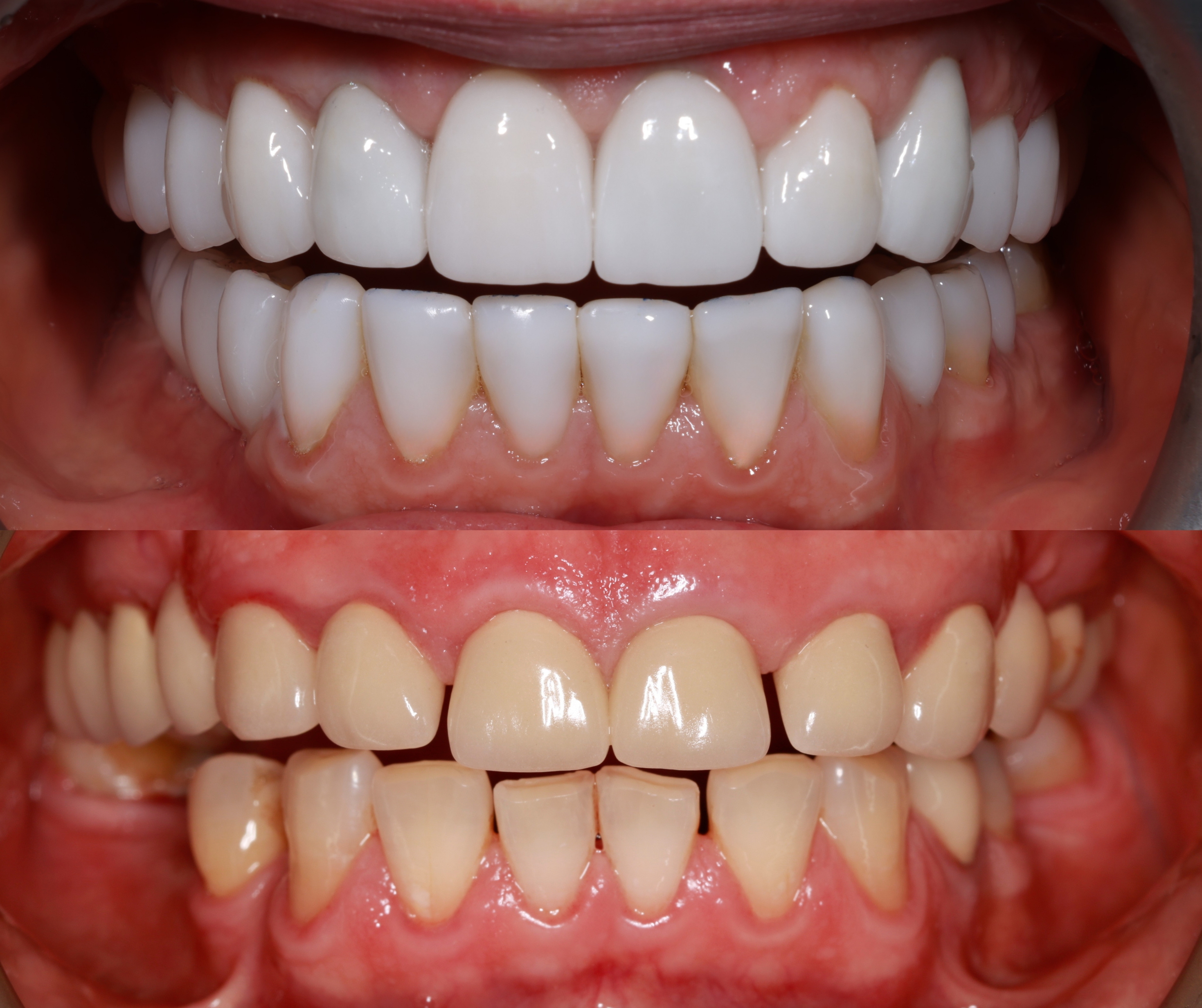
Korony ceramiczne - odbudowa i estetyka w idealnej równowadze
Korony ceramiczne pozwalają przywrócić funkcję i estetykę zębów, które wymagają odbudowy.
To rozwiązanie łączy trwałość z wysoką estetyką - ceramika wiernie odwzorowuje naturalne szkliwo, dzięki czemu efekt jest spójny z pozostałymi zębami.
Kiedy stosujemy korony?
- przy znacznie osłabionych lub zniszczonych zębach
- po leczeniu kanałowym
- gdy konieczna jest trwała odbudowa z zachowaniem estetyki
Jak pracujemy?
Każdy przypadek rozpoczynamy od dokładnej diagnostyki i planowania. Korona projektowana jest indywidualnie - tak, aby idealnie pasowała do zgryzu i wyglądu całego uśmiechu.
Licówki ceramiczne - precyzyjna korekta estetyki uśmiechu
Licówki ceramiczne umożliwiają kompleksową poprawę wyglądu zębów przednich.
To rozwiązanie dla osób, które chcą uzyskać harmonijny, jasny i proporcjonalny uśmiech - bez kompromisów w estetyce.
Co możemy skorygować?
- kolor zębów
- kształt i długość
- drobne nierówności
- przerwy między zębami
Efekt końcowy
Licówki projektujemy indywidualnie, uwzględniając rysy twarzy, linię uśmiechu i oczekiwania pacjenta.
Efekt ma wyglądać naturalnie - nie „idealnie sztucznie”, tylko autentycznie dobrze.

Licówki ceramiczne - precyzyjna korekta estetyki uśmiechu
Licówki ceramiczne umożliwiają kompleksową poprawę wyglądu zębów przednich.
To rozwiązanie dla osób, które chcą uzyskać harmonijny, jasny i proporcjonalny uśmiech - bez kompromisów w estetyce.
Co możemy skorygować?
- kolor zębów
- kształt i długość
- drobne nierówności
- przerwy między zębami
Efekt końcowy
Licówki projektujemy indywidualnie, uwzględniając rysy twarzy, linię uśmiechu i oczekiwania pacjenta.
Efekt ma wyglądać naturalnie - nie „idealnie sztucznie”, tylko autentycznie dobrze.


Flow Injection (Bonding) - szybka i precyzyjna poprawa uśmiechu
Bonding to metoda estetycznej odbudowy zębów przy użyciu materiałów kompozytowych.
Technika Flow Injection pozwala precyzyjnie zaplanować i odtworzyć nowy kształt zębów, zachowując ich naturalny charakter.
Kiedy warto rozważyć bonding?
- przy drobnych niedoskonałościach estetycznych
- przy niewielkich przerwach między zębami
- przy potrzebie szybkiej poprawy wyglądu uśmiechu
Dlaczego pacjenci wybierają tę metodę?
- minimalna ingerencja w strukturę zęba
- szybki efekt estetyczny
- możliwość dokładnego zaplanowania rezultatu
Leczenie dopasowane do Twoich możliwości
Decyzja o poprawie estetyki uśmiechu to ważny etap, dlatego dbamy o pełną przejrzystość i komfort na każdym kroku.
Już podczas konsultacji przedstawiamy indywidualny plan leczenia wraz z jasno określonym kosztorysem.
Istnieje również możliwość rozłożenia płatności na dogodne raty, co pozwala spokojnie zaplanować cały proces leczenia.

Leczenie i wsparcie
Zabieg wykonywany jest w ciągu jednego dnia - podczas jednej wizyty możliwe jest usunięcie zębów, wszczepienie implantów i zamocowanie stałego mostu.
W kolejnych miesiącach odbywają się wizyty kontrolne oraz wykonanie mostu docelowego.
Na każdym etapie towarzyszy Ci Opiekun Pacjenta, dzięki czemu cały proces jest prosty i bez stresu.

Kwalifikacja i kosztorys
Leczenie rozpoczyna się od konsultacji i szczegółowej diagnostyki (pantomogram, tomografia komputerowa, ocena stanu zdrowia).
Na tej podstawie przygotowywany jest indywidualny plan leczenia oraz pełny kosztorys. Dzięki temu jeszcze przed rozpoczęciem terapii dokładnie wiesz, jak będzie wyglądał cały proces i jakie będą jego koszty.

Formy płatności
Nie musisz płacić za leczenie w całości od razu. Możesz wybrać formę płatności dopasowaną do siebie.
Płatność jednorazowa
Przelewem lub kartą (z możliwością ustalenia indywidualnych warunków)
Raty 0% Malo Clinic
- 10% przy rezerwacji terminu
- 50% do dnia zabiegu
- 40% w 4–6 nieoprocentowanych ratach
Finansowanie zewnętrzne (Comfino)
- do 50 000 zł
- raty 0% lub inne dopasowane opcje
- pierwsza rata nawet po 60 dniach
Malo Clinic Naturalny efekt dopasowany do twarzy
Zrób pierwszy krok do piękniejszego uśmiechu
Wypełnij formularz - skontaktujemy się z Tobą telefonicznie.